Contents
ダニが原因でニキビができるって本当?
ダニが原因でニキビができるという話を耳にしたことはありませんか?実際、ダニは私たちの生活環境に潜んでおり、知らず知らずのうちに肌に影響を及ぼすことがあります。特に、枕の中にいるダニがニキビの原因になることがあるのです。
あなたも、朝起きた時にニキビができていると感じたことがあるかもしれません。それは、枕のダニが影響している可能性があります。では、具体的にどのようにダニがニキビに関与しているのか、そしてその対策について考えてみましょう。
ダニが原因でニキビができる布団の対策について詳しい解説はコチラ
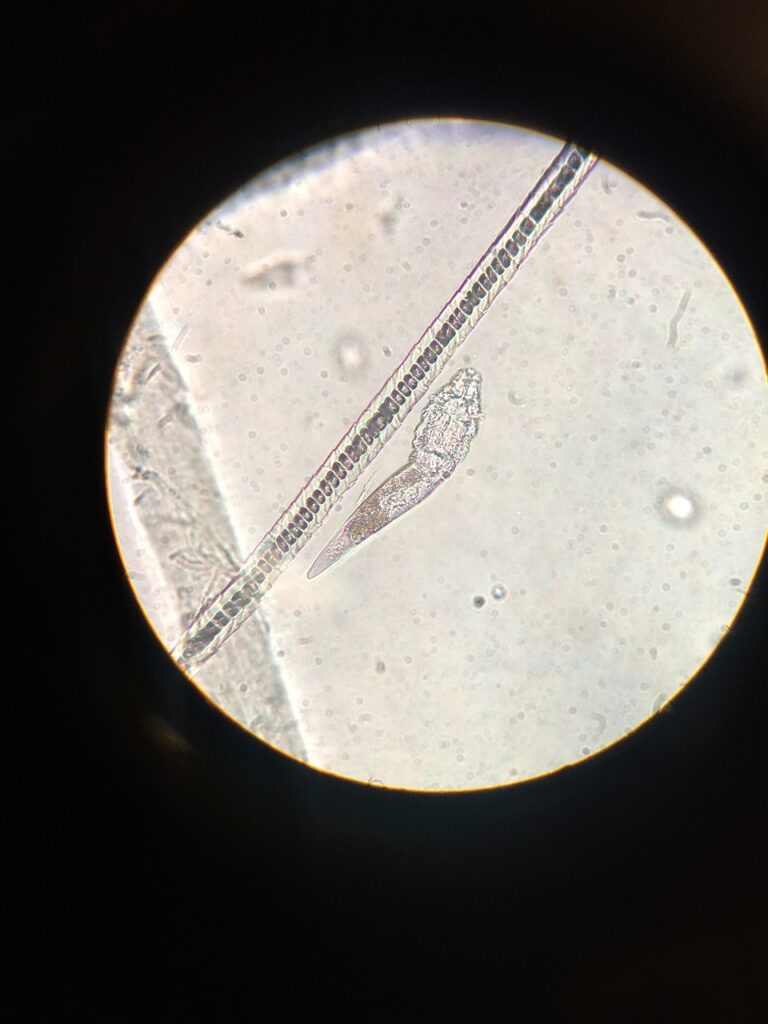
ダニとニキビの関係は?
ダニは、主にホコリや湿気が多い場所に生息しており、特に寝具や枕は彼らにとって快適な環境です。ダニの死骸や糞は、アレルゲンとして知られており、肌に触れることで炎症を引き起こすことがあります。
1. ダニがニキビを引き起こすメカニズム
ダニが肌に与える影響は以下のように考えられています。
- ダニのアレルゲンが肌に刺激を与える
- 炎症反応が起こり、ニキビができやすくなる
- 皮脂の分泌が増加し、毛穴が詰まりやすくなる
これにより、あなたの肌はニキビを発生させるリスクが高まります。
2. ニキビとダニの関係を示す研究
いくつかの研究では、ダニがアトピー性皮膚炎やニキビの発生に関与していることが示されています。特に、ダニアレルギーを持つ人は、ニキビができやすい傾向があるとされています。これらの研究結果は、あなたがダニ対策をする重要性を示唆しています。
ダニ対策はどうすればいいの?
ダニが原因でニキビができる可能性があることを理解したところで、具体的な対策を考えてみましょう。以下の方法を実践することで、ダニを減らし、ニキビのリスクを軽減することができます。
3. 枕や寝具の清掃
あなたの枕や寝具は、定期的に洗濯することが重要です。以下のポイントに注意してください。
- 枕カバーやシーツは週に1回洗濯する
- 高温で洗濯することでダニを死滅させる
- 干す際は、直射日光に当てると効果的
これにより、ダニの繁殖を抑えることができます。
4. 部屋の湿度管理
ダニは湿気を好むため、部屋の湿度を適切に管理することが大切です。具体的には、以下の方法を試してみてください。
- 湿度計を使って室内の湿度を確認する
- 湿度が高い場合は除湿器を使用する
- 換気をこまめに行い、湿気を逃がす
これにより、ダニの生息環境を改善できます。
5. ダニ対策グッズの活用
最近では、ダニ対策に特化した商品も多く販売されています。これらを活用することで、さらに効果的にダニを減らすことができます。
- ダニ防止スプレーを利用する
- 抗ダニ仕様の寝具やカバーを選ぶ
- ダニ取りシートを使う
これらのアイテムを取り入れることで、ダニのリスクを大幅に減少させることができます。
ニキビができたらどう対処する?
ダニ対策を行っても、すでにニキビができてしまった場合、どのように対処すればよいのでしょうか。ここでは、ニキビができた際の対処法について考えてみましょう。
6. 正しいスキンケアを行う
ニキビができた際には、正しいスキンケアが重要です。以下のポイントに気をつけてください。
- 優しい洗顔料を使用し、肌を傷めないようにする
- 保湿をしっかり行い、乾燥を防ぐ
- ニキビ用の治療薬を使用する
これにより、ニキビの悪化を防ぐことができます。
7. 皮膚科を受診する
ニキビがひどくなった場合や自己治療が難しい場合は、皮膚科を受診することをおすすめします。専門医に相談することで、適切な治療法を提案してもらえます。
まとめ
ダニが原因でニキビができることは、意外と知られていない事実かもしれません。しかし、ダニを適切に管理することで、ニキビのリスクを減少させることが可能です。枕や寝具の清掃、湿度管理、ダニ対策グッズの活用を行うことで、あなたの肌を守ることができます。また、ニキビができた際には正しいスキンケアや皮膚科の受診を心がけましょう。あなたの肌が健康で美しくあるために、ぜひ実践してみてください。







